Cáncer de Vejiga

Detección Oportuna y Tratamiento Endoscópico Avanzado

La sangre en la orina NUNCA es normal.

Hematuria Indolora: El Síntoma #1

Si notas tu orina de color rosa, rojo brillante o color "refresco de cola", incluso si solo ocurre una vez y luego desaparece, debes acudir al urólogo inmediatamente. La ausencia de dolor hace que muchos pacientes lo ignoren, perdiendo tiempo valioso para un diagnóstico temprano.

Entendiendo a tu enemigo

El cáncer de vejiga ocurre cuando las células que recubren el interior de la vejiga mutan y crecen sin control. Además de la sangre, puede causar irritación urinaria constante. Identifica los factores que te ponen en riesgo:

Tabaquismo

Es, de lejos, el factor de riesgo principal. Fumar causa aproximadamente la mitad de todos los cánceres de vejiga. Las sustancias químicas dañinas del humo se filtran a través de los riñones y se acumulan en la vejiga, dañando sus paredes.

Exposición Química

Trabajar con ciertas sustancias químicas industriales, especialmente tintes, caucho, cuero, pintura y productos textiles, incrementa significativamente el riesgo si la exposición es prolongada.

Edad y Sexo

El riesgo aumenta al envejecer (la mayoría se diagnostica después de los 55 años). Además, los hombres tienen entre 3 y 4 veces más probabilidades de desarrollarlo que las mujeres.

Protocolo de Diagnóstico de Precisión

No dejamos lugar a dudas. Utilizamos tecnología visual y de laboratorio de última generación para "ver" el interior de tu vejiga y confirmar la presencia o ausencia de lesiones malignas.

Citología de Orina

Análisis microscópico en laboratorio de una muestra de tu orina para buscar células cancerosas que se hayan desprendido del revestimiento de la vejiga.

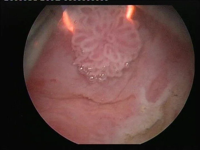
Cistoscopia

El estudio más importante. Introducimos una cámara ultrafina y flexible por la uretra para observar directamente todo el interior de la vejiga en tiempo real, sin dolor.

Tomografía (Uro-TAC)

Imágenes radiológicas de alta definición con medio de contraste para evaluar no solo la vejiga, sino los riñones y conductos, asegurando que el tumor no se haya extendido.

Arsenal Terapéutico Oncológico

El tratamiento depende absolutamente de la etapa del tumor: si solo afecta la capa interna (superficial) o si ha invadido el músculo profundo de la vejiga. Diseñamos un plan de ataque preciso para erradicar las células malignas.

El 70% de los Casos

Tumores Superficiales

(Cáncer No Músculo-Invasivo)

Resección Transuretral (RTU-V)

Es una cirugía endoscópica sin incisiones externas. A través de la uretra, utilizamos un asa eléctrica o láser para "raspar" y eliminar el tumor desde su base. El tejido se envía a patología.

Terapia Intravesical (BCG)

Tras la cirugía, se introduce un medicamento líquido (Inmunoterapia con BCG o quimioterapia) directamente dentro de la vejiga. Esto destruye células microscópicas restantes y previene drásticamente que el tumor regrese.

Casos Avanzados

Tumores Invasivos

(Cáncer Músculo-Invasivo)

Cistectomía Radical

Cuando el cáncer penetra el músculo, es necesario extirpar la vejiga completa (junto con ganglios linfáticos cercanos) para salvar la vida del paciente. Posteriormente, creamos una nueva vía (derivación urinaria) para que la orina pueda salir del cuerpo.

Quimio y Radioterapia

Se pueden administrar antes de la cirugía para encoger el tumor, o después para atacar células fugadas. En pacientes que no pueden ser operados, la radiación combinada con quimioterapia es la alternativa principal.

Derribando Mitos

La desinformación retrasa diagnósticos vitales. Pasa el cursor sobre cada tarjeta para deslizar el mito y conocer la realidad oncológica.

"Dejé de sangrar, así que ya me curé solo"

Pensar que si la sangre en la orina desaparece, el problema también lo hizo.

Desliza para ver la realidad

El sangrado es intermitente

El síntoma del cáncer de vejiga va y viene. Puedes sangrar un día y luego orinar normal por semanas o meses. El tumor sigue ahí creciendo. Nunca ignores un solo episodio de sangrado.

"El dolor al orinar significa cáncer seguro"

Asumir que un diagnóstico oncológico siempre va acompañado de dolor terrible.

Desliza para ver la realidad

Usualmente no duele

Irónicamente, el cáncer de vejiga en sus etapas tempranas casi nunca duele. El ardor al orinar suele ser síntoma de una simple infección urinaria. Sin embargo, solo el médico puede diferenciarlo.

"Perder la vejiga significa el fin de mi vida normal"

El terror absoluto a requerir una Cistectomía y usar una bolsa externa.

Desliza para ver la realidad

Hay reconstrucciones modernas

En muchos casos, si extirpamos la vejiga, podemos reconstruir una "neovejiga" usando parte del intestino, permitiendo al paciente orinar por la vía natural y retomar una excelente calidad de vida.